INDICATION

KRYSTEXXA® (pegloticase) is indicated for the treatment of chronic gout in adult patients who have failed to normalize serum uric acid and whose signs... See more

Now Available: KRYSTEXXA Ready-to-Use (RTU) Vial 8 mg/50 mL Learn more

For a customized experience, please select your specialty.

  • Reference
    • KRYSTEXXA (pegloticase) [prescribing information] Amgen.

Key Inclusion/Exclusion Criteria3

Inclusion

  • Adult patients ≥18 years old with diagnosis of uncontrolled gout
  • Uncontrolled gout, defined as (all required)
    • Serum uric acid (sUA) ≥7 mg/dL
    • Oral urate-lowering therapy failure/intolerance
    • ≥1 ongoing gout symptom (≥1 tophus, ≥2 flares in the year prior to screening and/or chronic gouty arthritis)

Exclusion

  • Glucose-6-phosphate dehydrogenase (G6PD) deficiency
  • eGFR <40 mL/min/1.73 m2
  • MTX contraindication/known intolerance
  • Elevated LFTs, low albumin or low blood cell counts
eGFR, estimated glomerular filtration rate; LFTs, liver function tests; MTX, methotrexate.

Family history and health literacy are contributing factors to gout becoming uncontrolled11,12


Two major factors contribute to urate buildup and crystallization11,12

Genetics
Gout runs in the family
Kidney damage
Impaired urate elimination
Additional contributing factors include:13,14
  • Diet and lifestyle
  • Age
  • Comorbidities
  • Metabolism
Diet is not a substitute for treatment as dietary restrictions may reduce uric acid levels by only ~1 mg/dL4,5
KRYSTEXXA has not been studied to reverse damage to the kidneys or any of the body’s organs.
Uncontrolled Gout Image Library

Explore the visible and nonvisible urate burden throughout the body

Click through the Uncontrolled Gout Image Library to see how urate burden affects various organs and joints in the body such as the hands, feet, heart, kidneys, and spine.

KRYSTEXXA has not been studied to reverse damage to the heart, kidneys, spine, or any of the body's organs.
Stay informed for your
patients and practice.
ON THIS PAGE:
  • Hand
  • foot
  • Heart
  • Kidney
  • Spine

When uric acid builds up, it can turn into crystals. These crystals cause painful flares and tophi1

Hand

Side by side hands with tophi
PHOTO OF TOPHI BUILDUP
Hand deformity caused by gout.

KRYSTEXXA is not indicated for the treatment of pain.
Image of visible tophi in hand before KRYSTEXXA treatment
ACTUAL PATIENT BEFORE KRYSTEXXA
Patient photograph taken in April 2019.
KRYSTEXXA is not indicated for the treatment of pain.
The primary endpoint in MIRROR RCT was defined as the proportion of patients achieving and maintaining an sUA level of <6 mg/dL for at least 80% of the time during Month 6; 71% of patients receiving KRYSTEXXA with methotrexate (n=100) vs 39% of patients receiving KRYSTEXXA alone (n=52) met the primary endpoint (P<0.0001).2
Tophi resolution was a secondary endpoint that was defined as 100% resolution of at least one target tophus, no new tophi appearing, and no single tophus showing progression at Month 12; 54% (28/52) of patients receiving KRYSTEXXA with methotrexate achieved tophi resolution vs 31% (9/29) of patients receiving KRYSTEXXA alone (P=0.048).2,3
The MIRROR RCT was a 52-week, randomized, double-blind, placebo-controlled trial, conducted in adult patients with chronic gout refractory to conventional therapy, to evaluate administration of KRYSTEXXA (8 mg Q2W) coadministered with 15 mg/week oral methotrexate and 1 mg/day oral folic acid (n=100) vs KRYSTEXXA with placebo (n=52).2,4
 Image of no visible tophi in hand after KRYSTEXXA with methotrexate treatment
ACTUAL PATIENT WHILE ON KRYSTEXXA WITH METHOTREXATE
Patient photograph taken in September 2021.
Best results were seen at 6 to 12 months.2 Optimal treatment duration has not been established.2 Individual results may vary.

KRYSTEXXA is not indicated for the treatment of pain.
The primary endpoint in MIRROR RCT was defined as the proportion of patients achieving and maintaining an sUA level of <6 mg/dL for at least 80% of the time during Month 6; 71% of patients receiving KRYSTEXXA with methotrexate (n=100) vs 39% of patients receiving KRYSTEXXA alone (n=52) met the primary endpoint (P<0.0001).2
Tophi resolution was a secondary endpoint that was defined as 100% resolution of at least one target tophus, no new tophi appearing, and no single tophus showing progression at Month 12; 54% (28/52) of patients receiving KRYSTEXXA with methotrexate achieved tophi resolution vs 31% (9/29) of patients receiving KRYSTEXXA alone (P=0.048).2,3
The MIRROR RCT was a 52-week, randomized, double-blind, placebo-controlled trial, conducted in adult patients with chronic gout refractory to conventional therapy, to evaluate administration of KRYSTEXXA (8 mg Q2W) coadministered with 15 mg/week oral methotrexate and 1 mg/day oral folic acid (n=100) vs KRYSTEXXA with placebo (n=52).2,4
Image of tophi in hands with both visible and nonvisible buildup
PHOTO OF TOPHI BUILDUP
Image courtesy of Dr Jürgen Rech.

KRYSTEXXA is not indicated for the treatment of pain.


Dual Energy CT scan of hand showing visible and nonvisible buildup in gout patient
DECT OF URATE BUILDUP
DECT image courtesy of Dr Jürgen Rech. Green areas indicate urate crystal buildup.
DECT, dual-energy computed tomography.

KRYSTEXXA is not indicated for the treatment of pain.
MIRROR RCT AT BASELINE
MIRROR RCT AT BASELINE
DECT image of urate buildup from a patient in MIRROR RCT.5
The MIRROR RCT was a 52-week, randomized, double-blind, placebo-controlled trial conducted in adult patients with chronic gout refractory to conventional therapy to evaluate administration of KRYSTEXXA (8 mg Q2W) coadministered with 15 mg/week oral methotrexate and 1 mg/day oral folic acid (n=100) vs KRYSTEXXA with placebo (n=52).2,4
DECT, dual-energy computed tomography; Q2W, once every 2 weeks; RCT, randomized controlled trial.

KRYSTEXXA is not indicated for the treatment of pain.
DECT scan showing uric acid buildup in hands at baseline and 52 weeks into treatment
MIRROR RCT FROM BASELINE TO 52 WEEKS
Hand images are DECT images of one patient taken from MIRROR RCT.5,6 Individual results may vary. Optimal treatment duration has not been established.2 Analysis is exploratory and has not been adjusted for multiple comparisons. No clinical or statistical conclusions can be drawn.

KRYSTEXXA is not indicated for treatment of pain.
DECT, dual-energy computed tomography; RCT, randomized controlled trial.

When uric acid builds up, it can turn into crystals. These crystals cause painful flares and tophi1

Foot

Close up of tophi in toes
PHOTOS OF TOPHI BUILDUP
Toe deformity caused by gout.
Foot tophi image
MIRROR RCT AT BASELINE
Image of tophi buildup from a patient in MIRROR RCT.2

The primary endpoint in MIRROR RCT was defined as the proportion of patients achieving and maintaining an sUA level of <6 mg/dL for at least 80% of the time during Month 6; 71% of patients receiving KRYSTEXXA with methotrexate (n=100) vs 39% of patients receiving KRYSTEXXA alone (n=52) met the primary endpoint (P<0.0001).3
Tophi resolution was a secondary endpoint that was defined as 100% resolution of at least one target tophus, no new tophi appearing, and no single tophus showing progression at Month 12; 54% (28/52) of patients receiving KRYSTEXXA with methotrexate achieved tophi resolution vs 31% (9/29) of patients receiving KRYSTEXXA alone (P=0.048).3,4
Side by side pictures of tophi on foot before and after KRYSTEXXA with methotrexate treatment
MIRROR RCT FROM BASELINE TO 52 WEEKS
Image of tophi response after using KRYSTEXXA with methotrexate from the same patient in MIRROR RCT from baseline to 52 weeks.2 Best results seen at 6 to 12 months.3 Optimal treatment duration has not been established.3 Individual results may vary.
The primary endpoint in MIRROR RCT was defined as the proportion of patients achieving and maintaining an sUA level of <6 mg/dL for at least 80% of the time during Month 6; 71% of patients receiving KRYSTEXXA with methotrexate (n=100) vs 39% of patients receiving KRYSTEXXA alone (n=52) met the primary endpoint (P<0.0001).3
Tophi resolution was a secondary endpoint in MIRROR RCT and was defined as 100% resolution of at least one target tophus, no new tophi appearing, and no single tophus showing progression at Month 12. 54% (28/52) of patients receiving KRYSTEXXA with methotrexate achieved tophi resolution vs 31% (9/29) of patients receiving KRYSTEXXA alone (P=0.048).3,4
Dual Energy CT scan of uric acid buildup in foot at baseline
MIRROR RCT AT BASELINE
DECT image of urate buildup from a patient in MIRROR RCT.2
DECT, dual-energy computed tomography.
The primary endpoint in MIRROR RCT was defined as the proportion of patients achieving and maintaining an sUA level of <6 mg/dL for at least 80% of the time during Month 6; 71% of patients receiving KRYSTEXXA with methotrexate (n=100) vs 39% of patients receiving KRYSTEXXA alone (n=52) met the primary endpoint (P<0.0001).3
Tophi resolution was a secondary endpoint that was defined as 100% resolution of at least one target tophus, no new tophi appearing, and no single tophus showing progression at Month 12; 54% (28/52) of patients receiving KRYSTEXXA with methotrexate achieved tophi resolution vs 31% (9/29) of patients receiving KRYSTEXXA alone (P=0.048).3,4
Side by side Dual Energy CT scans showing uric acid buildups in a gout patient at baseline and at Week 52 of treatment
MIRROR RCT FROM BASELINE TO 52 WEEKS
Feet images are DECT images of one patient taken from MIRROR RCT.2 Individual results may vary. Optimal treatment duration has not been established.3 Best results were seen at 6-12 months.3 Analysis is exploratory and has not been adjusted for multiple comparisons. No clinical or statistical conclusions can be drawn.

The primary endpoint in MIRROR RCT was defined as the proportion of patients achieving and maintaining an sUA level of <6 mg/dL for at least 80% of the time during Month 6; 71% of patients receiving KRYSTEXXA with methotrexate (n=100) vs 39% of patients receiving KRYSTEXXA alone (n=52) met the primary endpoint (P<0.0001).3
Tophi resolution was a secondary endpoint that was defined as 100% resolution of at least one target tophus, no new tophi appearing, and no single tophus showing progression at Month 12; 54% (28/52) of patients receiving KRYSTEXXA with methotrexate achieved tophi resolution vs 31% (9/29) of patients receiving KRYSTEXXA alone (P=0.048).3,4
The MIRROR RCT was a 52-week, randomized, double-blind, placebo-controlled trial conducted in adult patients with chronic gout refractory to conventional therapy to evaluate administration of KRYSTEXXA (8 mg Q2W) coadministered with 15 mg/week oral methotrexate and 1 mg/day oral folic acid (n=100) vs KRYSTEXXA with placebo (n=52).3,5

DECT, dual-energy computed tomography.

Urate crystals can deposit anywhere in the body, including in organs like the heart1,2

Heart

Micro tophus photo
Microtophus in the intima of a left anterior descending artery.3
Adapted from Park JJ, et al. BMJ Open. 2014;4:e005308.
KRYSTEXXA has not been studied to reverse damage to the heart or any of the body's organs.
Micro tophi photo
Microtophi in the adventitia of a right coronary artery.3
Adapted from Park JJ, et al. BMJ Open. 2014;4:e005308.
KRYSTEXXA has not been studied to reverse damage to the heart or any of the body's organs.
Image of negatively birefringent crystals in gout microscopy
Intracellular negatively birefringent crystals in the intima of a left anterior descending artery (left) as seen with polarizing microscopy. White arrow denotes a first-order red plate axis. Deconvolution confocal microscopy image of the same cell showing intracellular crystals (right).3
Adapted from Park JJ, et al. BMJ Open. 2014;4:e005308.
KRYSTEXXA has not been studied to reverse damage to the heart or any of the body's organs.

Urate crystals have been found in the kidneys1

Kidney

Images of gouty tophi in joint and kidney
Gouty tophi in joint and kidney. Chalky white urate deposits are visible in the articular cartilage (right). The corresponding kidney (left) shows yellowish areas in the pyramids (arrow) representing fibrosis and urate deposits.1
Adapted from Nickeleit V, et al. Nephrol Dial Transplant. 1997;12:1832-1838.
KRYSTEXXA has not been studied to reverse damage to the kidneys or any of the body's organs.
High power view of a tophus
High-power view of a tophus, with central urate deposition surrounded by mononuclear inflammatory cells and scattered giant cells.1
Adapted from Nickeleit V, et al. Nephrol Dial Transplant. 1997;12:1832-1838.
KRYSTEXXA has not been studied to reverse damage to the kidneys or any of the body's organs.
Side by side gouty tophi images
Gouty tophus in renal medulla (left; acid fuchsin – orange G stain, x125 original magnification). Center of a tophus with uric acid crystals (right; polarized light; x140 original magnification).1
Adapted from Nickeleit V, et al. Nephrol Dial Transplant. 1997;12:1832-1838.
KRYSTEXXA has not been studied to reverse damage to the kidneys or any of the body's organs.

Up to 75% of the urate burden may not be detected upon physical examination1

Spine

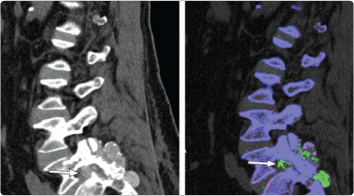
DECT scans of lower spine showing tophaceous deposits
Sagittal DECT and 3-dimensional DECT reconstruction show extensive tophaceous deposits (in green) in L1/2, L2/3, L3/4, and L4/5 lumbar discs, and also L2-L3 and L4-L5 facet joints.2
Adapted from Lu H, et al. Medicine (Baltimore). 2017;96:e7670.
KRYSTEXXA has not been studied to reverse damage to the spine or any of the body's organ.
DECT, dual-energy computed tomography.
DECT scans of lumbar spine showing tophaceous deposits
Sagittal mixed 120-kVp equivalent images of lumbar spine obtained with dual-energy CT demonstrate an intermediate-attenuation mass in the L5-S1 facet joint with bony erosions and narrowing of the neural foramen (arrow, left). Dual-energy material labeling color map overlay shows monosodium urate (green) and bone (blue and pink). Note the monosodium urate crystals crowding the left neural foramen (arrow, right).3
Adapted from Gibney B, et al. Radiology. 2020;296:276.
KRYSTEXXA has not been studied to reverse damage to the spine or any of the body's organ.
CT, computed tomography.
Photo of tophi from gout in spine
(A) Intraoperative photograph of the chalky white material at the right L2-L3, L4-L5 facet joints (white arrows).
(B) Histological examination (H&E, 100x) shows amorphous tophaceous deposit with a multinucleated giant cell reaction.2
Adapted from Lu H, et al. Medicine (Baltimore). 2017;96:e7670.
KRYSTEXXA has not been studied to reverse damage to the spine or any of the body's organ.

IMPORTANT SAFETY INFORMATION

WARNING: ANAPHYLAXIS AND INFUSION REACTIONS, G6PD DEFICIENCY ASSOCIATED HEMOLYSIS AND METHEMOGLOBINEMIA

  • Anaphylaxis and infusion reactions have been reported to occur during and after administration of KRYSTEXXA.
  • Anaphylaxis may occur with any infusion, including a first infusion, and generally manifests within 2 hours of the infusion. Delayed hypersensitivity reactions have also been reported.
  • KRYSTEXXA should be administered in healthcare settings and by healthcare providers prepared to manage anaphylaxis and infusion reactions.
  • Premedicate with antihistamines and corticosteroids and closely monitor for anaphylaxis for an appropriate period after administration of KRYSTEXXA.
  • Monitor serum uric acid levels prior to each infusion and discontinue treatment if levels increase to above 6 mg/dL, particularly when 2 consecutive levels above 6 mg/dL are observed.
  • Screen patients at risk for glucose-6-phosphate dehydrogenase (G6PD) deficiency prior to starting KRYSTEXXA. Life threatening hemolytic reactions and methemoglobinemia have been reported with KRYSTEXXA in patients with G6PD deficiency. KRYSTEXXA is contraindicated in patients with G6PD deficiency.

CONTRAINDICATIONS:

  • In patients with G6PD deficiency.
  • In patients with history of serious hypersensitivity reactions, including anaphylaxis, to KRYSTEXXA or any of its components.

WARNINGS AND PRECAUTIONS

Anaphylaxis
In a 52-week controlled trial of KRYSTEXXA co-administered with methotrexate (MTX) compared to KRYSTEXXA alone, one patient treated with KRYSTEXXA co-administered with MTX (1%) experienced anaphylaxis during the first infusion and no patients experienced anaphylaxis treated with KRYSTEXXA alone. Patients were pre-treated with infusion reaction prophylaxis and KRYSTEXXA was discontinued following 2 consecutive serum uric acid levels above 6 mg/dL to reduce the risk of anaphylaxis and infusion reactions. These risks are higher in patients whose uric acid level increases to above 6 mg/dL, particularly when 2 consecutive levels above 6 mg/dL are observed.
During pre-marketing clinical trials with KRYSTEXXA alone, KRYSTEXXA was not discontinued following 2 consecutive serum uric acid levels above 6 mg/dL. Anaphylaxis was reported with 6.5% (8/123) of patients treated with KRYSTEXXA every 2 weeks and 4.8% (6/126) for the every 4-week dosing regimen. There were no cases of anaphylaxis in patients receiving placebo. Anaphylaxis generally occurred within 2 hours after treatment.
Diagnostic criteria of anaphylaxis were skin or mucosal tissue involvement, and, either airway compromise, and/or reduced blood pressure with or without associated symptoms, and a temporal relationship to KRYSTEXXA or placebo injection with no other identifiable cause. Manifestations included wheezing, peri-oral or lingual edema, or hemodynamic instability, with or without rash or urticaria, nausea or vomiting. Cases occurred in patients being pre-treated with one or more doses of an oral antihistamine, an intravenous corticosteroid and/or acetaminophen, which may have resulted in an underestimate of anaphylaxis frequency reported. Patients should be informed of the symptoms and signs of anaphylaxis and instructed to seek immediate medical care should anaphylaxis occur after discharge from the healthcare setting.
It is recommended that before starting KRYSTEXXA patients discontinue oral urate-lowering medications and not institute therapy with oral urate-lowering agents while taking KRYSTEXXA.

Infusion Reactions
In the 52-week trial, infusion reactions were reported in 4% of patients in the KRYSTEXXA co-administered with MTX group compared to 31% of patients treated with KRYSTEXXA alone. In both treatment groups, the majority of infusion reactions occurred at the first or second KRYSTEXXA infusion and during the time of infusion.
During pre-marketing 24-week controlled clinical trials with KRYSTEXXA alone, infusion reactions were reported in 26% of patients treated with KRYSTEXXA 8 mg every 2 weeks, and 41% of patients treated with KRYSTEXXA 8 mg every 4 weeks, compared to 5% of patients treated with placebo. These infusion reactions occurred in patients being pre-treated with an oral antihistamine, intravenous corticosteroid and/or acetaminophen, which may have resulted in an underestimate of infusion reaction frequency reported.
Manifestations of these reactions included urticaria (10.6%), dyspnea (7.1%), chest discomfort (9.5%), chest pain (9.5%), erythema (9.5%), and pruritus (9.5%). These manifestations overlap with the symptoms of anaphylaxis, but in a given patient did not occur together to satisfy the clinical criteria for diagnosing anaphylaxis. Infusion reactions occurred at any time during a course of treatment with ~3% occurring with the first infusion, and ~91% occurred during the time of infusion.
KRYSTEXXA should be infused slowly over no less than 120 minutes. In the event of an infusion reaction, the infusion should be slowed, or stopped and restarted at a slower rate.

Gout Flares:
In the 52-week trial of KRYSTEXXA co-administered with MTX vs KRYSTEXXA alone, patients were administered gout flare prophylaxis, resulting in 66% and 69% of patients with any flare for the first 3 months, respectively. In the KRYSTEXXA co-administered with MTX group, the percentages of patients with any flare for the subsequent 3 month increments of treatment were 27%, 8%, and 9% during Months 6, 9, and 12, respectively; in the group treated with KRYSTEXXA alone, 14%, 9%, and 21% during Months 6, 9, and 12, respectively.
During the 24-week pre-marketing, controlled trials, with KRYSTEXXA alone the frequencies of gout flares were high in all treatment groups, but more so with KRYSTEXXA treatment during the first 3 months, and decreased in the subsequent 3 months. The percentages of patients with any flare for the first 3 months were 74%, 81%, and 51%, for KRYSTEXXA 8 mg every 2 weeks, KRYSTEXXA 8 mg every 4 weeks, and placebo, respectively. The percentages of patients with any flare for the subsequent 3 months were 41%, 57%, and 67%, for KRYSTEXXA 8 mg every 2 weeks, KRYSTEXXA 8 mg every 4 weeks, and placebo, respectively. Patients received gout flare prophylaxis with colchicine and/or NSAIDs starting at least one week before receiving KRYSTEXXA. Gout flares may occur after initiation of KRYSTEXXA. An increase in gout flares is frequently observed upon initiation of anti-hyperuricemic therapy, due to changing serum uric acid levels resulting in mobilization of urate from tissue deposits. Gout flare prophylaxis with a NSAID or colchicine is recommended starting at least 1 week before initiation of KRYSTEXXA therapy and lasting at least 6 months, unless medically contraindicated or not tolerated. KRYSTEXXA does not need to be discontinued because of a gout flare. The gout flare should be managed concurrently as appropriate for the individual patient.

Congestive Heart Failure (CHF)
KRYSTEXXA has not been formally studied in patients with CHF, but some patients in the pre-marketing placebo-controlled clinical trials experienced exacerbation. Two cases of CHF exacerbation occurred during the trials in patients receiving treatment with KRYSTEXXA 8 mg every 2 weeks. No cases were reported in placebo-treated patients. Four subjects had exacerbations of pre-existing CHF while receiving KRYSTEXXA 8 mg every 2 weeks during the OLE study. Exercise caution in patients who have congestive heart failure and monitor patients closely following infusion.

Re-treatment with KRYSTEXXA
No controlled trial data are available on re-treatment after stopping treatment for longer than 4 weeks. Due to the immunogenicity of KRYSTEXXA, patients receiving re-treatment may be at increased risk of anaphylaxis and infusion reactions. Therefore, patients receiving re-treatment after a drug-free interval should be monitored carefully.

ADVERSE REACTIONS

The most common adverse reactions (≥5%) are:

Co-administration with MTX:

Gout flares, arthralgia, COVID-19, nausea, and fatigue.

KRYSTEXXA alone:

Gout flares, infusion reactions, nausea, contusion or ecchymosis, nasopharyngitis, constipation, chest pain, anaphylaxis, and vomiting.

INDICATION

KRYSTEXXA® (pegloticase) is indicated for the treatment of chronic gout in adult patients who have failed to normalize serum uric acid and whose signs and symptoms are inadequately controlled with xanthine oxidase inhibitors at the maximum medically appropriate dose or for whom these drugs are contraindicated.

Limitations of Use: KRYSTEXXA is not recommended for the treatment of asymptomatic hyperuricemia.

Please see Full Prescribing Information, including Boxed Warning.

  • References
    • Doghramji PP, et al. Postgrad Med. 2012;124:98-109.
    • KRYSTEXXA (pegloticase) [prescribing information] Amgen.
    • Botson JK, et al. ACR Open Rheumatol. 2023;5:407-418.
    • Botson JK, et al. Arthritis Rheumatol. 2023;75:293-304.
    • Data on File. Amgen, January 2020.
    • Data on File. Amgen, January 2021.
    • Doghramji PP, et al. Postgrad Med. 2012;124:98-109.
    • Dalbeth N, et al. Joint Bone Spine. 2024:91:105715.
    • KRYSTEXXA (pegloticase) [prescribing information] Amgen.
    • Botson JK, et al. ACR Open Rheumatol. 2023;5:407-418.
    • Botson JK, et al. Arthritis Rheumatol. 2023;75:293-304.
    • Doghramji PP, et al. Postgrad Med. 2012;124:98-109.
    • Klauser AS, et al. JAMA Cardiol. 2019;4:1019-1028.
    • Park JJ, et al. BMJ Open. 2014;4:e005308.
    • Nickeleit V, et al. Nephrol Dial Transplant. 1997;12:1832-1838.
    • Choi HK, et al. Ann Rheum Dis. 2009;68:1609-1612.
    • Lu H, et al. Medicine (Baltimore). 2017;96:e7670.
    • Gibney B, et al. Radiology. 2020;296:276.

IMPORTANT SAFETY INFORMATION

WARNING: ANAPHYLAXIS AND INFUSION REACTIONS, G6PD DEFICIENCY ASSOCIATED HEMOLYSIS AND METHEMOGLOBINEMIA

  • Anaphylaxis and infusion reactions have been reported to occur during and after administration of KRYSTEXXA.
  • Anaphylaxis may occur with any infusion, including a first infusion, and generally manifests within 2 hours of the infusion. Delayed hypersensitivity reactions have also been reported.
  • KRYSTEXXA should be administered in healthcare settings and by healthcare providers prepared to manage anaphylaxis and infusion reactions.